top of page
Willy Conley
P H O T O G R A P H Y
BIOMEDICAL
& NATURE
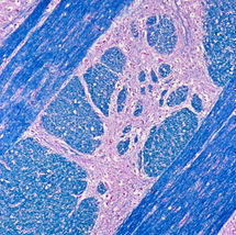
My training to become certified as a Registered Biological Photographer involved many aspects of biomedical photography: botany, entomology, clinical patients, veterinary, ophthalmology, surgery, pathology, histology, public relations, macroscopy, and microscopy.

bottom of page























